
The gentleman was middle aged. He had some generalised complaints about his stomach. However, no chest complaints were present.
He was referred for ultrasound of the abdomen to ARDISS IMAGING & DIAGNOSTIC CENTRE, the renowned ultrasound centre with the best available senior radiologist in Greater Noida.
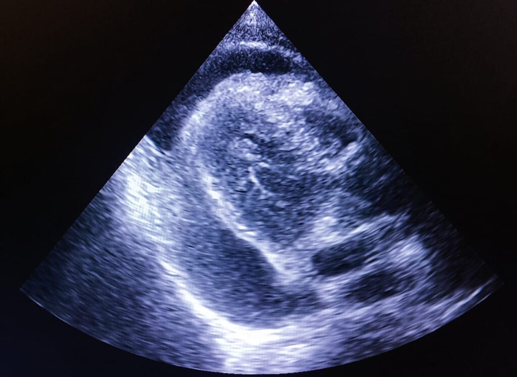
While scanning the left lobe of liver, glimpses of the heart from subxiphoid position prompted the experienced radiologist to look into the parasternal and apical views of the heart.
On ultrasound, his abdomen was mostly good. No gross disease was noted there.
And there was moderate amount of pericardial effusion, a condition where the heart is surrounded with excess amount of fluid, that compresses the heart and hinders its normal pumping process. It may lead to cardiac tamponade, a serious life-threatening condition.
The condition may develop due to viral or bacterial infections or autoimmune diseases.
Early diagnosis leads to prompt treatment and relief to the patient, before it is too late to salvage the heart.